29+ Richard Mille Rm056 Blue Sapphire

33+ Aggressive Brain Cancer Prognosis Images

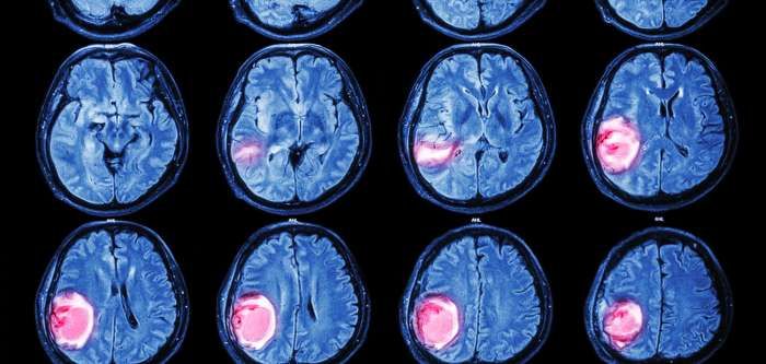
33+ Aggressive Brain Cancer Prognosis Images. For example, the most aggressive type of. Brain tumors vary in their growth rate and ability to cause symptoms.

What are the cancers that are incurable? - Quora
What are the cancers that are incurable? - Quora from qph.fs.quoracdn.net
Mccain, who is 81, had brain surgery in july to remove a blood clot mccain told cbs news' 60 minutes that doctors are treating the brain cancer with radiation and chemotherapy. Do cell phones cause cancer? But brain cancers are different than other types of.

Brain tumors vary in their growth rate and ability to cause symptoms.

Cemm research center for molecular medicine of the austrian academy of sciences. The type of brain tumor that doctors removed from sen. Do cell phones cause cancer? Read about brain cancer statistics, treatment (surgery, chemotherapy), symptoms, causes, risk factors, tumor types, stages, prognosis, and survival rates.

Komentar